Техника секторальной рефракционной кератопластики
Операцию секторальной рефракционной кератопластики проводят под местной анестезией инстилляцией 2% раствора лидокаина. Оптический центр роговицы определяют под операционным микроскопом с помощью фотолокализатора (см.
рис. 9.2.8), отмечая инъекционной иглой, смоченной 1% спиртовым раствором бриллиантовой зелени (см. рис. 9.2.9). Специальным отметчиком отмечают оптическую зону диаметром 6,0 мм (см. рис. 9.2.10). Сильный и слабый меридианы рефракции роговицы отмечают в области лимба перед подачей больного в операционную 1% спиртовым раствором бриллиантовой зелени по системе «Табо».С помощью отметчика роговицы (рис. 11.2.1) отмечают главные меридианы роговицы, затем определяют сектор сильного меридиана при простом миопическом астигматизме и по линии отметки оптической зоны производят насечку длиной до 1,0 мм на глубину 0,2 мм алмазным ножом с дозированной подачей лезвия, такую же насечку делают и в противоположном секторе (рис. 11.2.2) На глубине насечки специальным роговичным шпателем (рис. 11.2.3) делают расслаивание роговицы по линии отметки центральной зоны на % ее окружности. Точно такое же расслаивание проводят и в противоположном секторе. В сформированные тоннели микропинцетом вводят приготовленные заранее лентовидные трансплантаты с несколько заостренными краями и расправляют микрошпателем (рис. 11.2.4). Подсушенные трансплантаты имеют упругую консистенцию и легко вводятся в тоннели (рис. 11.2.5).
При коррекции смешанного астигматизма тоннели формируют в секторах по слабому меридиану и на глубине 0,4 мм. Тем самым, под действием лентовидного трансплантата уменьшается радиус кривизны слабого меридиана и компенсаторно увеличивается радиус кривизны в противоположном меридиане, что приводит к усилению преломляющей способности слабого меридиана и ослаблению сильного меридиана роговицы.
Лентовидные трансплантаты готовят методом параллельных сечений, описанных в разделе 8.2.1.
Для хирургической коррекции простого и смешанного астигматизма применяют трансплантаты следующих размеров:
■ от 1,5 до 2,5 дптр - 0,4 х 0,4 х 2,5 мм;
■ от 3,0 до 4,0 дптр - 0,4 х 0,5 х 2,5 мм;
■ от 4,5 до 5,0 дптр - 0,4 х 0,6 х 2,5 мм;
■ от 5,5 до 6,0 дптр - 0,4 х 0,7 х 2,5 мм.
Дозировка рефракционного эффекта операции, в зависимости от вида и степени астигматизма, осуществляется глубиной расслоения роговицы пациента, размером поперечного сечения трансплантата и диаметром оптической зоны (рис. 11.2.6; 11.2.7).
Анализ клинического применения секторальной рефракционной кератопластики для коррекции астигматизма позволяет обосновать следующие положения:
■ рефракционный эффект операции зависит от размеров лентовидного трансплантата, глубины расслоения роговицы, диаметра оптической зоны роговицы и максимально составляет 7,0 дптр;
■ стабилизация рефракционного эффекта наступает к 4 месяцам по мере приживления трансплантатов;
■ рефракционный эффект операции поддается в послеоперационном периоде управлению как в сторону уменьшения, так и в сторону усиления путем удаления или замены трансплантатов;
■ центральная оптическая зона роговицы диаметром 6,0 мм остается интактной;
■ операция малотравматична и не требует дорогостоящего оборудования. (ВИДЕО)
Литература
1. Аветисов С.Э. Клинико-экспериментальное изучение возможностей хирургической коррекции астигматизма: Автореф. дис. ... д-ра мед. наук. - М., 1985.
2. Аветисов С.Э., Мамиконян В.Р. Кераторефракционная хирургия. - М., 1993.
3. Фролов М.А. Комплексная система хирургической коррекции миопии и астигматизма методом межслойной рефракционной кератопластики: Автореф. дис. ... д-ра мед. наук. - М., 1999.
4. Фролов М.А., Душин Н.В., Гончар П.А. и др. Отдаленные результаты межслойной кератопластики в хирургической коррекции миопии и астигматизма высокой степени // Сборник научных статей научнопрактической конференции «Современные методы диагностики и лечения заболеваний роговицы и склеры» - М., 2007.
- С. 375-378.5. Фролов М.А., Беляев В.С., Душин Н.В. и др. Межслойная секторальная кератопластика в хирургической коррекции астигматизма // Вестник офтальмологии. - 1996. - №2. - С. 15-18.
6. Шустеров Ю.А. Рефракционная интерламеллярная тоннельная кератопластика эксплантатом в коррекции миопии и миопического астигматизма: Автореф. дис. ... д-ра мед. наук. - М., 1998.
7. Шустеров Ю.А., Елисеева Е.В. Рефракционная интерламеллярная кератопластика эксплантатом // Вестник офтальмологии. - 1994. - № 3. - С. 32-35.
Рис. 1.1.1. Филатов В.П. (1857-1956)
Рис. 1.1.2. Трепан ФМ-3
Рис. 1.1.3. Трепан ФМ-4
а
б
Рис. 1.2.1. Схема сквозной оптической кератопластики: а) до операции; б) после операции, трансплантат красный

а
б
Рис. 1.2.3. Схема послойной задней кератопластики: а) до операции; б) после операции, трансплантат красный
а
б
Рис. 1.2.4. Схема послойно-сквозной кератопластики - «передний гриб»: а) до операции; б) после операции, трансплантат красный
а
б
а
б
Рис. 1.2.6. Схема полной покровной кератопластики: а) до операции; б) после операции, трансплантат красный
а
б
Рис. 1.2.7. Схема секторальной покровной кератопластики: а) до операции; б) после операции, трансплантат красный.
а
б
Рис.
1.2.9. Схема межслойной кератопластики: а) до операции; б) после операции, трансплантат красный
Рис. 2.2.1. Бельмо роговицы с глубокими и поверхностными сосудами после химического ожога роговицы
Рис. 2.2.2. Бельмо роговицы с новообразованными сосудами после кератита
Рис. 2.2.4. Постравматический рубец роговицы
Рис. 2.2.3. Постравматический рубец роговицы, артифакия с частичным вывихом ИОЛ в переднюю камеру
Рис. 2.2.5. Булезная кератопатия после экстракции катаракты, окраска раствором флюоресцеина
Рис. 2.2.7. Сфероидальная дегенерация роговицы
Рис. 2.2.9. Кератоконус IV степени
Рис. 2.2.10. Кератоконус IV степени, снимок сбоку
Рис. 2.2.13. Абсцесс роговицы с гипопионом
Рис. 2.2.14. Разлитой абсцесс роговицы.
Рис. 2.2.6. Эпителиально-эндотелиальная дистрофия роговицы с новообразованными сосудами после экстракции катаракты
Рис. 2.2.12. Центральная язва роговицы с гипопионом, окраска роговицы флюоресцеином
Рис.
2.3.1. Операционный микроскоп
Рис. 2.3.2. Трепаны с фторопластовой формой для трепанации донорской роговицы со стороны эндотелия

Рис. 2.3.4. Трепаны с окошками над режущей коронкой и с рукояткой
Рис. 2.3.5. Лезвиедержатель с осколком лезвия
Рис. 2.3.7. Алмазный нож с дозированной подачей лезвия
Рис. 2.3.8. Лекало с выступами от 0,1 до 0,6 мм и установка лезвия на необходимое выстояние
Рис. 2.3.10. Нож для расслаивания роговицы в одних и тех же слоях в виде «самолетного крыла»
Рис. 2.3.11. Ножницы роговичные - правые и левые
Рис. 2.3.12. Микрошпатели
Рис. 2.3.13. Микрохирургические инструменты
Рис. 2.3.14. Атравматическая игла с моноволокном 10-0

а
б
Рис.2.4.1. Схема сквозной кератопластики при центральных язвах роговицы
а) до операции; б) после операции
Рис. 2.4.2. Дорезание лезвием оставшихся слоев стромы роговицы после трепанации
Рис.
2.4.3. Дорезание роговичными ножницами оставшихся слоев стромы роговицы после трепанации
Рис. 2.4.5. Роговица донора в консервирующей среде
Рис. 2.4.4. Устройство для фиксации донорского глазного яблока
Рис. 2.4.6. Выкраивание трансплантата со стромы эндотелия на фотопластиковой подставке
Рис. 2.4.7. Донорский трансплантат уложен на трепанационное
отверстие реципиента
Рис. 2.4.8. Фиксация донорского трансплантата 4 направляющими узловыми швами

Рис. 2.4.10. Схема расположения узловых швов, фиксирующих трансплантат
а б
Рис. 2.4.11. Схема наложения непрерывного шва: а) двойного, б) одинарного
Рис. 2.4.13. Узловой шов, фиксирующий трансплантат
Рис. 2.5.1. Болезнь трансплантата, провисший шов

Рис. 2.5.3. Больной Б. Бактериальный кератит с гипопионом
Рис. 2.5.4. Больной Б. Состояние трансплантата через 2 недели после сквозной кератопластики
Рис. 2.5.5. Больная И. Бактериальный кератит с гипопионом через 3 года после кератотомии
Рис. 2.5.6. Больная И. Состояние глаза через 3 месяца после сквозной кератопластики
Рис. 2.5.7. Больная В. Стафилома роговицы после перенесенного кератита на глазу с кератотомией
Рис. 2.5.8. Больная В. Состояние глаза через 2 месяца после сквозной кератопластики
Рис. 3.1.1. Центральное поверхностное бельмо
Рис. 3.1.3. Узелковая дистрофия роговицы
Рис. 3.1.4. Рецидивирующий птеригиум
Рис. 3.1.6. Рецидивирующий древовидный кератит
Рис. 3.1.2. Поверхностное бельмо роговицы после химического ожога
Рис. 3.1.5. Инфильтрат роговицы с гипопионом в передней камере
Рис. 3.1.7. Лимбальный дермоид
Рис. 3.2.1. Трепан с регулируемым положением поршня
Рис. 3.2.2. Нож-шпатель
Рис. 3.2.3. Расслаивание донорской роговицы
Рис. 4.1.1. Схема межслойной оптической кератопластики: а) трансплантат в роговичном кармане; б) трепанация поверхностного листка над трансплантатом;
в) после операции
Рис. 4.1.5. Поверхностное центральное бельмо роговицы
Рис. 4.1.6. Центральное сосудистое бельмо роговицы
Рис. 4.1.7. Состояние глаза после второго этапа межслойной оптической кератопластики
Рис. 5.1.1. Вялотекущий кератит
Рис. 5.1.2. Вялотекущий инфильтрат роговицы
Рис. 5.1.3. Периферический вялотекущий кератит
Рис. 4.1.2. Центральное облаковидное бельмо роговицы
Рис. 4.1.3. Поверхностное бельмо роговицы с новообразованным сосудом
Рис. 5.1.4. Лимбальная язва роговицы
Рис. 5.1.5. Рецидивирующая язва роговицы
Рис. 5.1.7. Рецидивирующая эрозия роговицы. Окраска флюресценом
Рис. 5.1.8. Периферическое расплавление роговицы
Рис. 5.1.10. Десцеметоцеле после язвы роговицы
Рис. 5.1.11. Стафиломы роговицы
Рис. 5.2.3. Трансплантат с ободком склеры
Рис. 5.2.1. Расслаивание донорской роговицы с заходом на склеру
Рис. 5.2.2. Отсечение переднего листка роговицы с ободком склеры
а
б
Рис. 5.2.4. Схема операции полной покровной лечебной кератопластики: а) до операции; б) после операции
Рис.5.2.5. Глаз после полной покровной лечебной кератопластики
Рис.5.2.6. Глаз через 2 недели после полной покровной лечебной кератопластики
а
б
Рис.5.2.7. Схема операции секторальной покровной лечебной кератопластики:
а) до операции; б) после операции
Рис.5.2.8. Схема операции (вид спереди) секторальной покровной лечебной кератопластики
Рис.5.2.9. Глаз после секторальной покровной лечебной кератопластики
Рис.5.2.10. Схема операции кольцевой покровной лечебной кератопластики:
а) до операции; б) после операции
Рис.5.2.11. Схема операции (вид спереди) кольцевой покровной лечебной кератопластики: а) до операции; б) после операции
Рис. 6.1.1. Схема косметической кератопластики
Рис. 6.1.2. Бельмо роговицы слепого глаза
Рис. 6.1.3. Бельмо роговицы субатрофического глаза
Рис. 6.2.1. Надрез роговицы реципиента
Рис. 6.2.2. Расслаивание роговицы реципиента
Рис. 6.2.4. Расслаивание роговицы донора
Рис. 6.2.8. Состояние глаза после операции
Рис. 6.1.4. Смещение зрачка к лимбу на абсолютном глазу после проникающего ранения
Рис. 6.2.5. Трепанация переднего листка роговицы донора
Рис. 6.2.7. Введение трансплантата в роговичный карман
Рис. 7.2.1. Схема операции межслойной кератопластики в лечении кератоконуса: а) до операции; б) после операции; в) после операции прямой
Рис. 7.2.2. Расслаивание роговицы реципиента
Рис. 7.2.3. Введение трансплантата, окрашенного водным раствором бриллиантовой зелени, в роговичный карман
Рис. 7.2.4. Микрошпателем трансплантат установлен в центральной зоне роговицы

Рис. 7.2.6. Состояние глаза после межслойной кератопластики при сроке наблюдения больного А
Рис. 7.2.7. Трансплантат в слоях роговицы больного А. в свете щелевой лампы
Рис. 8.2.2. Расслаивание роговицы реципиента
Рис. 8.2.1. Схема операции кератофакии: а) схема операции прямой кератофакии; б) боковой после первого этапа;
в) боковой после второго этапа
Рис. 8.2.3. Удаление эпителия роговицы глаза донора ножом Грефе
Рис. 8.2.4. Роговица донора с ободком склеры, обработанная в водном растворе бриллиантовой зелени
Рис. 8.2.5. Моделирующие свинцовые основы
Рис. 8.2.6. Устройство для фиксации донорской роговицы с ободком склеры на моделирующей основе
Рис. 8.2.7. Установка донорской роговицы на моделирующую основу
Рис. 8.2.8
Рис. 8.2.10. Биолинза зафиксированная микрошпателем перед введением в роговичный карман
Рис. 8.2.11. Роговица и трансплантат прозрачны, незначительные складки десциметовой оболочки
Рис. 8.2.12. Трансплантат отдавливает задние слои роговицы в сторону передней камеры
Рис. 8.2.13. Трепанация переднего листка роговичного кармана
Рис. 8.2.14. Узловые швы на 12 и 6 часах на линии трепанации переднего листка роговицы
Рис. 8.2.15. Схема операции кератофакии с центральной кератоэктомией переднего листка роговичного кармана: а) вид прямо; б) до второго этапа операции; в) после второго этапа операции
Рис. 8.2.16. Удаление центральной части переднего листка роговицы
над трансплантатом
Рис. 8.2.17. Глаз после корнеосклерального проникающего ранения. Экстракция катаракты и кератофакии
Рис. 8.2.18. Тот же глаз в свете щелевой лампы. Трансплантат в средних слоях роговицы
Рис. 8.2.19. Глаз после кератофакии. Трансплантат и роговица прозрачны
Рис. 8.2.20. Тот же глаз, кератограмма
Рис. 8.2.21. Глаз после кератофакии, боковой снимок
Рис. 9.2.2. Надрез роговицы у лимба
Рис. 9.2.3. Расслаивание роговицы донора
Рис. 9.2.1. Схема операции тоннельной кератопластики: а) лентовидные трансплантаты в слоях роговицы до послабляющих надрезов;
б) после послабляющих надрезов
Рис. 9.2.4. Двухлезвийный нож
Рис. 9.2.5. Выкраивание лентовидных трансплантатов из переднего листка роговицы донора

Рис. 9.2.7. Консервированные трансплантаты в ампулах
Рис. 9.2.9. Отметка зрительной оси по светящейся точке роговицы
Рис. 9.2.10. Выделение оптической зоны роговицы
Рис. 9.2.12. Надрезы роговицы у лимба
Рис. 9.2.13. Микрошпатель для расслаивания роговицы
Рис. 9.2.17. Схема тоннельной кератопластики при миопическом астигматизме
Рис. 9.2.15. Введение лентовидных трансплантатов в тоннели
Рис. 9.2.16. Послабляющие надрезы роговицы между трансплантатами
Рис. 9.2.18 Состояние роговицы после тоннельной кератопластики
Рис. 9.2.19 Роговица после тоннельной кератопластики на срезе щелевой лампы
Рис. 10.2.1. Отметка оптической зоны роговицы
Рис. 10.1.1. Схема рефракционной кольцевой кератопластики
Рис. 10.2.3. Изогнутые роговичные шпатели (правый, левый)
Рис. 10.2.4. Полукольцевой тоннель в строме роговицы
Рис. 10.2.6. Проведение трансплантата в тоннель
Рис. 11.2.1. Отметчик роговицы
Рис. 11.2.2. Насечка роговицы по линии отметки оптическои зоны
Рис. 10.2.7. Полукольцевые трансплантаты в тоннелях стромы роговицы
Рис.11.1.1. Схема операции секторальной рефракционной кератопластики
Рис. 11.2.4. Введение трансплантатов в секторальные тоннели
Рис. 11.2.5. Трансплантаты расположены в двух противоположных секторах
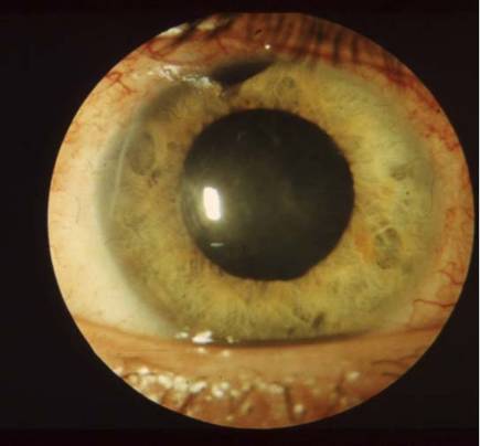
Рис.11.2.6. На фоне розового рефлекса - секторальный трансплантат
Рис. 11.2.7. Секторальная кератопластика по горизонтальному меридиану
Еще по теме Техника секторальной рефракционной кератопластики:
- Показания и противопоказания к применению секторальной рефракционной кератопластики
- Техника рефракционной тоннельной кератопластики
- Техника операции рефракционной кольцевой кератопластики
- Методика секторальной покровной лечебной кератопластики
- Показания и противопоказания для проведения рефракционной кольцевой кератопластики в коррекции миопии высокой степени
- Техника покровной лечебной кератопластики
- Душин Н.В.и др.. Кератопластика в лечении заболеваний глаз (оптическая, рефракционная, лечебная, косметическая): Учеб. пособие. - М.: РУДН,2008. - 168 с., 2008
- Техника послойной передней оптической кератопластики
- Техника межслойной косметической кератопластики
- Техника межслойной оптической кератопластики
- Техника оптической сквозной кератопластики
- Техника межслойной кератопластики в лечении ранних стадий кератоконуса
- X. Техника как ремесло. Техника человека-техника
- 3.1. Философские проблемы техники 3.1.1. Философия техники и методология технических наук
- Техники бихевиоральной терапии и консультирования (техника вызывания отвращения, наказание)
- Рефракционный эксимерлазерный интростромальный кератомилез (РЭИК)
- 60. Понятие юридической техники. Виды юр. техники.
- 3.1.5. Социальная оценка техники как прикладная философия техники
- Техника. Происхождение и сущность. Техника и этика.