<<
>>

Клинические особенности у больных гормонально-неактивными доброкачественными опухолями надпочечников, подозрительными на АКР

Клинические проявления в виде жалоб на интенсивные боли в пояснич- ной области на стороне поражения отмечены у 3 из 19 больных 3-ей группы. Признаков эндогенного гиперкортизолизма не выявлено ни у одного больного.

Жалобы на общую слабость, нарушения менструального цикла установлены у 1 больной. При детальном опросе болевой синдром на стороне локализации опу- холи был выявлен еще у 3 пациентов, что послужило поводом к целенаправ- ленному выполнению УЗИ брюшной полости и забрюшинного пространства.

Клиническое наблюдение №4. Больная В., 48 лет (и.б.№5437-С) поступи- ла в клинику 13.03.2007 года с жалобами на эпизодическое повышение АД, бо- лями в правом подреберье, периодические головные боли. Эпизодическое по- вышение АД отмечала в течении 10 лет до поступления. За 6 месяцев до по- ступления отметила учащение приступов повышения АД с максимальными цифрами систолического АД 190 и диастолического - 100 мм.рт.ст. При обсле- довании в кардиологическом стационаре установлен диагноз: ИБС. ХСН, 2ФК. Гипертоничсекая болезнь 2 стадии. Сердечная недостаточность 2 ФК. При УЗИ органов брюшной полости в проекции правого НП выявлено образование раз- мерами 3,8х2,4 см. Проведена оценка гормонального статуса. Уровень кортизо- ла крови составил 95,1 нг/мл (норма: 20-100), кортизона - 24,7 нг/мл (норма: 10-

30), кортикостерона – 10,4 нг/мл (норма: до 5), дезоксикортикостерона – менее 2 (норма: менее 2), 11-дезоксикортизола менее 2 (норма: менее 2), альдостерона

– 41 пг/мл (норма: 10 -105), ангиотензина 1 – 0,4 нг/мл/ч (норма: 0,5 – 1,9),

АКТГ – 10 пг/мл (норма: 0-50), ДГЭА сульфат – 0,01 мкг/мл (норма: 0,3-3,33), РЭА – 1,21 (норма: 0-4,6). При СКТ органов брюшной полости в проекции пра- вого надпочечника выявлено объемное образование размером 3,0х2,8 см, с не- ровными контурами, неоднородной структуры, плотностью 40HU, которая по- сле внутривенного введения контрастного препарата возрасла до 76HU на 1 минуте после его введения.

Для исключения вторичного поражения НП выпол- нены маммография, ФГДС, ирригоскопия – патологии не выявлено. Учитывая размеры выявленной опухоли правого надпочечника, её высокую плотность, неоднородность структуры, а так же повышение кортикостерона крови в 2 раза по онкологчиеским показаниям, а так же имеющимся субклиническим призна- кам гормональной активности решено выполнить операцию. 14.03.07 – лапа- роскопическая правосторонняя адреналэктомия с удалением клетчатки верхне- го паранефрия. Интраоперационных осложнений не было. Макроскопически опухоль размерами 3,5х3,0 см, на разрезе «студенистого» характера, инвазии капсулы макроскопически не выявлено (рис.3.9):

Рис. 3.9. Макропрепарат опухоли правого надпочечника больной В.

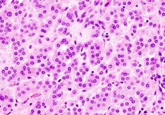
Рис. 3.10. Аденома правого НП. Окраска гематоксилином и эозином.

Ув.200.

При гистологическом исследовании – аденома коры надпочечника (рис.3.10).

Диагноз: опухоль правого надпочечника (прекортикостерома). Ранний после- операционный период протекал без осложнений. Швы сняты на 8 сутки после операции. Больная выписана из стационара на 9 сутки послеоперационного пе- риода. Наблюдается в течение 7 лет после оперативного лечения – самочув- ствие удовлетворительное, данных за рецидив заболевания нет. В данном наблюдении онкологическая настороженность по риску развития АКР была связана с наличием болевого синдрома, артериальной гипертензии и выявления при КТ опухоли надпочечника с высокой плотностью.

Случайной находкой опухоль надпочечника при скрининговом УЗИ бы- ла у 16 из 19 больных при обследовании по поводу заболеваний органов желу- дочно-кишечного тракта и грудной полости. На этапе оценки клинических про- явлений 6 (31,6%) из 19 больных были включены в контрольную группу паци- ентов с подозрением на АКР. Критерий включения в данную группу – наличие образования в проекции надпочечника и выраженный болевой синдром на сто- роне локализации опухоли.

Остальные 13 больных были включены в группу пациентов с новообразованиями подозрительными на АКР на следующих эта- пах лабораторно-инструментального обследования.

Таким образом, проведенный анализ клинических проявлений у больных различными формами АКР показал отсутствие достоверных признаков, позво- ляющих однозначно диагностировать АКР на основе только клинических про- явлений, что вполне согласуется с данными большинства исследователей [112, 118, 137, 159, 189, 228]. Оценка характера клинических проявлений позволило только заподозрить и выделить группу риска больных подозрительных на АКР. Жалобы на боли в животе или поясничной области на стороне расположения выявленной опухоли надпочечника должны вызывать настороженность о воз- можности развития АКР. Однако данное сочетание болевого синдрома и обна- ружение при скрининговом УЗИ опухоли надпочечника не является достовер- ным диагностическим критерием и должно оцениваться в совокупности с дан- ными лабораторных и инструментальных исследований. Возможность типич- ного и нетипичного проявления АКР, а также отсутствие специфических кли-

нических проявлений у больных со случайно выявленными опухолями надпо- чечников на ранних стадиях заболевания так же диктуют необходимость про- ведения специальных лабораторных и инструментальных исследований.

<< | >>
Источник: БАБИЧ Александр Игоревич. СОВРЕМЕННЫЕ ПОДХОДЫ К ДИАГНОСТИКЕ И ЛЕЧЕНИЮ АДРЕНОКОРТИКАЛЬНОГО РАКА. 2015

Еще по теме Клинические особенности у больных гормонально-неактивными доброкачественными опухолями надпочечников, подозрительными на АКР:

  1. 3.2.3. Особенности морфологических изменений надпочечников при АКР
  2. 3.1. Особенности клинических проявлений у больных адренокортикальным раком
  3. Доброкачественные опухоли роговицы и лимба
  4. 4.1.Непосредственные результаты оперативных вмешательств Предоперационная подготовка, проводимая у больных АКР,
  5. Клиническая характеристика и особенности изменений спектральных показателей вариабельности ритма сердца во время выполнения активной ортостатической пробы у больных с нейрогенными обмороками в межприступном периоде
  6. Общая клиническая характеристика больных
  7. Содержание клинической характеристики состояния больного
  8. 2.1. Клиническая характеристика обследованных больных
  9. 40. Зависимость нейропсихологического синдрома от характера патологического процесса (опухоль, травма, сосудистое поражение) и возраста больного.
  10. 3.1.1. Оценка клинических симптомов у больных ХОБЛ и ХОБЛ в сочетании с БА
  11. Биологические и фенотипические особенности опухолей
  12. 2.4. особенности реабилитации нервно-психических больных